Nemokama konsultacija telefonu Nemokama konsultacija telefonu Nemokama konsultacija telefonu Nemokama konsultacija telefonu

Estetinis plombavimas

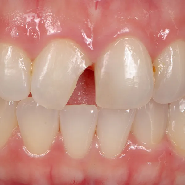
Estetinis plombavimas – tai dantų atkūrimo procedūra, kurios metu naudojant šiuolaikinius kompozitus preciziškai formuojama natūrali danties forma, spalva ir paviršius.

Estetinis plombavimas

Kas yra estetinis plombavimas?

Šis gydymo būdas leidžia greitai ir neskausmingai atkurti nuskilusius, nusidėvėjusius, pigmentuotus ar netaisyklingos formos dantis. Tai – idealus pasirinkimas norintiems pagerinti šypsenos išvaizdą ir išlaikyti danties funkcionalumą.

Kada rekomenduojamas estetinis plombavimas?

Estetinis plombavimas rekomenduojamas, kai:

  • Dantys nudilę, nuskilę ar nutrupėję
  • Tarp dantų yra tarpai (diastemos)
  • Dantys yra netaisyklingos formos ar proporcijų
  • Dantys yra patamsėję ar jų spalva netolygi
  • Norima greito ir ekonomiško estetinio rezultato
Estetinis plombavimas

Kaip atliekama procedūra?

01

Konsultacija ir planavimas
Konsultacijos metu atliekamas dantų įvertinimas, fotografavimas. Aptariami paciento lūkesčiai.

02

Paruošimas
Dantys paruošiami procedūrai: pašalinami pažeisti, sugedę ir pakeitę spalvą audiniai, senos plombos.

03

Plombavimas
Naudojami aukštos kokybės kompozitai, sluoksniuojant ir modeliuojant palaipsniui atkuriama danties anatomija, paviršiaus struktūra ir spalva.

04

Poliravimas ir užbaigimas
Siekiant, kad dantys būtų lygūs ir atrodytų kuo natūraliau, nupoliruojamas jų paviršius.

Rezultatai ir nauda

  • Pagerinta šypsenos estetika
  • Atkurta dantų forma, proporcijos ir spalva
  • Sugrąžintas pasitikėjimas savimi
  • Minimaliai invazyvus gydymo būdas
  • Greitas rezultatas – dažnai per vieną vizitą

Estetinis plombavimas ar dantų laminatės?

Estetinis plombavimas:

  • Greitesnis ir pigesnis metodas
  • Tinka nedidelėms korekcijoms

Dantų laminatės:

  • Ilgaamžiškesnis rezultatas, stabilesnė spalva
  • Geresnis sprendimas esant didesniems defektams ar norint nepriekaištingos estetikos

Ką svarbu žinoti po procedūros?

  • 1–2 dienas gali būti nedidelis jautrumas
  • Pirmas 24 val. reikia vengti kieto ar dažančio maisto
  • Užtikrinti tinkamą kasdienę burnos higieną, reguliariai lankytis pas burnos higienistą ir profilaktinėms patikroms pas gydytoją odontologą, esant polinkiui griežti dantimis, naudoti naktinę kapą.

(D. U. K.)

Dažniausiai užduodami klausimai

Estetinis plombavimas vidutiniškai tarnauja 5–7 metus, priklausomai nuo burnos higienos ir gyvenimo būdo.

Gali šiek tiek patamsėti laikui bėgant, ypač jei vartojama daug kavos, rūkoma. Rekomenduojama plombas reguliariai poliruoti.

Vieno danties plombavimas – apie 1–1,5 val.. Visa šypsena atkuriama per 1–2 vizitus.

Kodėl verta rinktis mūsų kliniką?

Mūsų klinikoje estetinio plombavimo procedūras atlieka aukštos kvalifikacijos gydytojai, naudojantys pažangiausias plombines medžiagas, leidžiančias tiksliai atkurti natūralų danties vaizdą. Darbui pasitelkiame šiuolaikines technologijas, o kiekvienas atvejis planuojamas individualiai. Mūsų prioritetas – dantų estetika, funkcionalumas ir pateisinti pacientų lūkesčiai.

Leiskite sau šypsotis drąsiai!

Estetinis plombavimas – greitas kelias į tobulą šypseną.

Registruokitės šypsenos pokyčiui telefonu +370 685 47710 arba internetu.

Kontaktai

Susisiekite su mumis